En Identity Orthodontics, creemos que una sonrisa perfecta comienza con una boca saludable. Además de nuestra especialidad en ortodoncia avanzada, ofrecemos una gama de servicios dentales integrales diseñados para mantener y realzar la estética de tus dientes. Desde limpiezas dentales profesionales con tecnología ultrasónica hasta blanqueamientos dentales de última generación y guardas oclusales personalizadas para el tratamiento del bruxismo. Cada procedimiento es realizado por especialistas en nuestra clínica de Plaza Ellion, utilizando los más altos estándares de higiene y precisión para garantizar que tu salud bucal esté siempre en las mejores manos.
Conoce Nuestros Servicios de Odontología Integral en Monterrey
Periodoncia
Tratamiento especializado en la prevención, diagnóstico y tratamiento de enfermedades periodontales. Eliminamos infecciones y restauramos la salud de tus encías para una sonrisa duradera y saludable.
- Eliminación de sarro y placa bacteriana
- Prevención de pérdida ósea
- Reducción de la inflamación gingival
- Tratamientos mínimamente invasivos
Ortodoncia
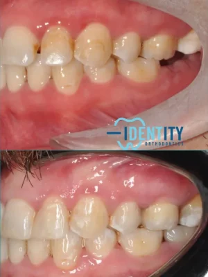
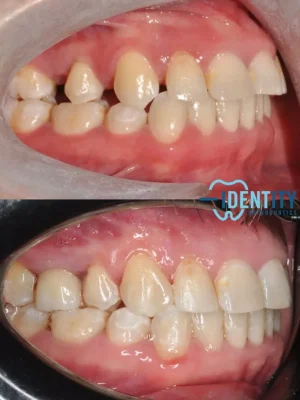
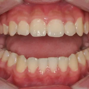
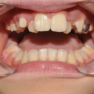
Corregimos la posición de tus dientes con brackets metálicos, cerámicos o alineadores invisibles. Mejoramos tu mordida y función masticatoria para que sonrías con total confianza.
- Dientes perfectamente alineados
- Opciones estéticas disponibles
- Corrección de mordida
- Mejora de la higiene dental
Cirugía Maxilofacial
Procedimientos quirúrgicos especializados en mandíbula, maxilar y estructuras faciales. Desde extracciones complejas hasta reconstrucciones con tecnología 3D.
- Cirujanos altamente especializados
- Técnicas mínimamente invasivas
- Planificación con tecnología 3D
- Recuperación optimizada
Implantología
Reemplazamos piezas dentales perdidas con implantes de titanio de última generación. Recupera tu mordida y estética natural con una solución permanente.
- Solución permanente
- Preserva el hueso maxilar
- Apariencia 100% natural
- Tasa de éxito del 98%
Endodoncia
Tratamiento de conducto para eliminar infecciones y preservar piezas dentales dañadas. Utilizamos microscopía avanzada para resultados precisos y duraderos.
- Conserva el diente natural
- Tratamiento indoloro
- Elimina el dolor dental
- Resultados duraderos
Odontopediatría
Atención dental especializada para bebés, niños y adolescentes. Ambiente amigable y técnicas adaptadas para crear experiencias positivas desde temprana edad.
- Ambiente amigable para niños
- Prevención temprana
- Técnicas adaptadas por edad
- Educación en higiene dental
Rehabilitación y Estética
Blanqueamientos profesionales, carillas de porcelana y diseño de sonrisa completo. Transformamos tu sonrisa con los tratamientos estéticos más avanzados.
Agenda algún servicio de Odontología Integral en Monterrey
- Resultados naturales
- Diseño digital de sonrisa
- Materiales de alta calidad
- Satisfacción garantizada